Lupus nephritis overlap syndrome in a male with albinism: A case report
Abstract
Systemic lupus erythematosus (SLE) and antineutrophil cytoplasmic antibody (ANCA)-associated vasculitis (AAV) are distinct autoimmune disorders that rarely coexist. Their co-occurrence, known as SLE/AAV overlap syndrome, represents a clinically significant entity characterized by combined serological and histopathological features of both conditions. It is most commonly reported in females, with limited data on male patients. We describe a case of SLE/AAV overlap syndrome in a 38-year-old male with albinism who presented with progressive polyarthritis, generalized oedema, oliguria, and constitutional symptoms. Laboratory findings included elevated serum creatinine (170 µmol/L), nephrotic-range proteinuria (2.0 g/day), positive antinuclear antibodies (ANA: 4000 IU/mL), anti-dsDNA (800 IU/mL), P-ANCA (50.74 IU/mL), and low complement levels (C3 and C4). Urinalysis revealed RBC casts and dysmorphic red blood cells. Renal biopsy confirmed a dual diagnosis of lupus nephritis (class III + V) and crescentic glomerulonephritis with full-house immunofluorescence and ANCA positivity. The patient was treated with intravenous methylprednisolone pulses followed by low-dose cyclophosphamide (Euro-Lupus protocol). Upon clinical improvement, he was transitioned to oral mycophenolate mofetil, hydroxychloroquine, and enalapril. Within two months, he showed significant clinical and laboratory improvement with normalization of renal function (serum creatinine 73 µmol/L), reduction in proteinuria (to 298 mg/day), and a decrease in disease activity (SLEDAI-2K score of 2). This case emphasises the need for a high clinical suspicion in atypical autoimmune presentations. Early renal biopsy and prompt immunosuppressive therapy are crucial for favourable outcomes.
Keywords: lupus nephritis; antineutrophil cytoplasmic antibody-associated vasculitis; overlap syndrome; male patient; albinism; Tanzania
Introduction
Systemic lupus erythematosus (SLE) and antineutrophil cytoplasmic antibody (ANCA)-associated vasculitis (AAV) are two distinct autoimmune conditions and rarely occur together.[1-3] Their coexistence can result in potentially fatal complications, especially rapidly progressive glomerulonephritis (RPGN).[4-6] This disease entity, known as Lupus Nephritis–AAV Overlap Syndrome, was initially defined in 2008.[6,7] It exhibits overlapping presentations in terms of clinical, pathological, and serological findings.[8-10] The pathogenesis of overlap syndrome remains elusive.[1] However, the hallmark characteristic discovery is crescentic glomerulonephritis, which results in haematuria, renal vasculitis, and progressive renal dysfunction.[6,9,11,12] With mortality rates as high as 20%, early diagnosis and treatment are essential.[2] The majority of documented cases are in females, frequently with microscopic polyangiitis (MPA) and P-ANCA positivity, and most of these cases showed remarkable clinical improvements despite the different treatment options.[3,7,10,12] There are limited documented data regarding this syndrome, especially in males, in our setting. We present a rare case of a 38-year-old male with albinism and polyarthritis and deteriorating renal function. Overlap syndrome with full-house nephropathy and ANCA positivity was confirmed by kidney biopsy. This is the first reported case of a male in our region. The patient was diagnosed early and responded well to treatment. This case underscores the importance of recognizing atypical presentations. Prompt intervention can significantly improve outcomes.
Case presentation
A 38-year-old male with albinism arrived at the emergency room for assessment of three months of progressive diffuse symmetrical joint pain, two weeks of body swelling, and decreased urine output. The metatarsal joints, both ankles, and knees were the first affected with dull aching, pain, and limited ranges of motion. Later, the wrists and metacarpal joints were also involved. The affected joints were red and swollen. He had sporadic episodes of low-grade fever, numbness in his lower extremities, generalized weakness, and easy fatigue. Later, he observed increasing oedema in the lower limbs, abdomen, and morning face puffiness, with symptoms of dyspepsia. He noted a 7kg weight loss. He also reported a history of chest pain and a dry nocturnal cough. There were no skin lesions apart from his albinism, as shown in Figure 1, and no haematuria.

Figure 1a and 1b. Face and legs of patient without abnormal skin lesions except for albinism. (CREDIT: Gidion Edwin. Photographs taken during index admission after consent).
Before admission, he had been treated at another facility with prednisolone, ibuprofen, captopril, and furosemide for his arthropathy and assumed heart failure and had not benefited. There was no history of diabetes mellitus or hypertension. He had never smoked or drunk alcohol. Upon physical examination, he was alert (Glasgow coma score of 15/15), with a heart rate of 112 beats per minute and blood pressure of 118/63 mmHg. He was pale with moderate leg oedema grade 2+, moderate ascites, and facial puffiness. A pericardial friction rub was heard with an elevated jugular venous pressure (at 13 cm H₂O), on musculoskeletal examination revealed swollen tender multiple joints and warm, in keeping with inflammatory arthritis. Strabismus (esotropia) was noted, which is often associated with albinism. Urine output was 250mls in 24 hours, and body weight was 47kg. These features suggested a systemic autoimmune disease, most likely SLE, with differentials of mixed connective tissue disease (MCTD) and rheumatoid arthritis. The investigations performed are presented in Table 1.
Table 1. Investigation results
|
S. No |
Test/parameter |
Result |
Reference |
|
1. |
Serum creatinine, µmol/l |
170 |
62-112 |
|
2. |
Blood urea nitrogen, mg/dl |
21.9 |
2.8-7.9 |
|
3. |
Uric acid, µmol/l |
526 |
200-415 |
|
4. |
Serum sodium, mEq/l |
137 |
135-146 |
|
5. |
Serum potassium, mEq/l |
4.99 |
3.5-5.1 |
|
6. |
Serum albumin, g/l |
29.5 |
35-50 |
|
7. |
24 hours urine protein, mg/day |
2016 |
< 15 |
|
8. |
Glycated haemoglobin,% |
5.2 |
4.8-5.7 |
|
9. |
Antinuclear antibodies, IU/ml |
4000 |
0-40 |
|
10. |
Anti-Ds DNA, IU/ml |
800 |
0-20 |
|
11. |
Anti-CCP, IU/ml |
5.7 |
0-20 |
|
12. |
Rheumatoid factor (qualitative) |
Non-reactive |
|
|
13. |
P-ANCA, IU/ml |
50.74 |
0-20 |
|
14. |
Anti-Sm IGG, IU/ml |
400 |
0-20 |
Other nuclear antigen profiles, including anti-SSA and anti-SSB antibodies, were unavailable. Urine analysis showed blood 2+ and protein 3+. Urine microscopy showed red blood cell (RBC) casts and dysmorphic RBCs. Other laboratory tests: haemoglobin 8.84 g/dL, leucocytes 4.9x109 cells/µL, platelet count 193 x109 cells/µL, direct Coomb’s test negative, ESR 140 in the first hour, and CRP 4.9 mg/dL. Liver chemistry and coagulation indices were within normal limits. Serological tests for HIV and hepatitis B/ C were nonreactive. Serum complements, C3 was 0.6 mg/dL (reference range 0.9–1.8 mg/dL) and C4 was 0.07 mg/dL (reference range 0.1–0.4 mg/dL).
Chest radiography revealed features of pulmonary oedema with left-sided mild pleural effusion. A 12-lead electrocardiogram showed sinus tachycardia, but otherwise normal findings, and a two-dimensional transthoracic echocardiogram demonstrated mild to moderate pericardial effusion with good diastolic and systolic functions. Cultures (blood and urine) and tuberculosis screen (sputum for GeneXpert and serum adenosine deaminase, ADA was 27 IU/L) were negative. Renal ultrasound scan showed normal-sized kidneys without hydronephrosis.
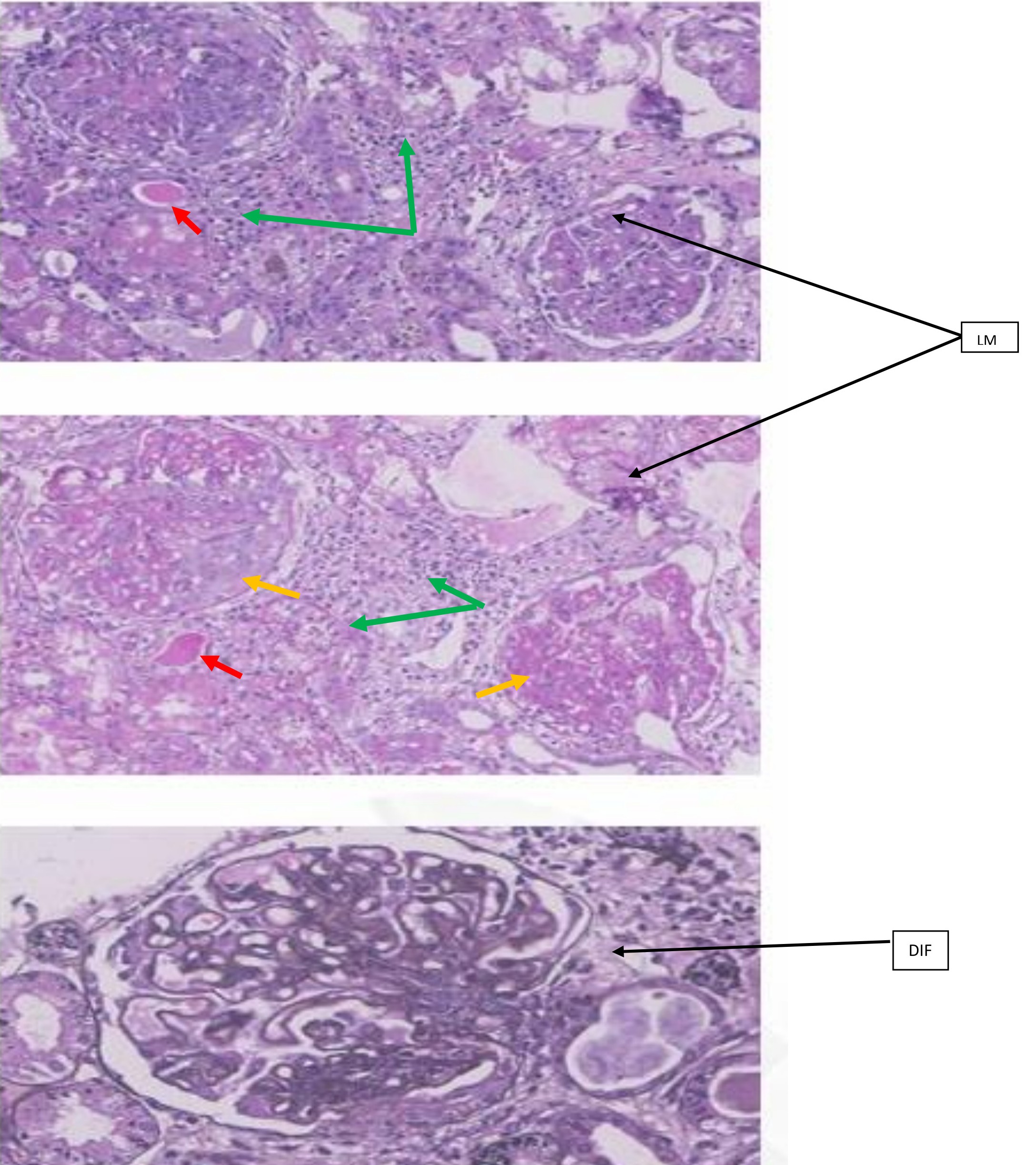
Thereafter, the patient was kept on intravenous methylprednisolone 500 mg for three days and other supportive medical therapy, including intravenous paracetamol, injectable pantoprazole, and cough syrup, while a kidney biopsy was arranged urgently. On day 3, serum creatinine was 127 µmol/l with marked clinical resolution of admitting symptoms. The kidney biopsy under light microscopy showed focal and diffuse sclerosing GN with overlying fibrous crescents, 20 glomeruli, and most were enlarged, hypercellular with diffuse capillary wall thickening, subendothelial spikes, and increased mesangial and endocapillary cellularity. Five cellular crescents were seen with focal duplication of capillary walls. The interstitium and tubules showed foci of tubular atrophy and interstitial fibrosis involving 5-10% of the sampled cortex. A few granular casts were seen, and mild lymphocytic interstitial inflammation. The blood vessels showed mild intimal thickening. The renal light microscopy (LM) findings were in keeping with combined membranous class V with focal proliferative class III lupus nephritis (LN) activity index 4/24 and chronicity index 2/12, of which six crescents were seen, with five cellular and one fibrous. There were focal (2/22) glomerulosclerosis and mild interstitial fibrosis and tubular atrophy (IFTA, 10%). Direct immunofluorescence (DIF) showed granular mesangiocapillary deposits of IgG (þ2), IgA (þ1), IgM (þ1), C3 (þ3), C4 (þ1), C1q (þ2), fibrinogen (negative), Kappa (þ2), and Lambda (þ3), as shown in Figure 2. This full-house immunofluorescence positivity raised the possibility of LN.

Figure 2. Original renal biopsy showing histopathological findings (LM: light microscopy. DIF: direct immunofluorescence). Yellow arrow: globally sclerosed glomeruli with fibrous crescent. Red arrow: granular casts. Green arrow: lymphocytic interstitial inflammation. (CREDIT: MHL Tanzania report processed at METROPOLIS Mumbai, May 2025)
Based on these clinical and pathological findings, a diagnosis of SLE/AAV overlap syndrome was made. This patient’s clinical presentation supported the AAV diagnosis, as evidenced by the presence of necrotizing GN and ANCA positivity. He also fulfilled the American College of Rheumatology criteria for SLE, namely presence of arthritis, serositis (pericarditis), vasculitis, anaemia, renal involvement and low C3/C4. The patient was started on oral prednisolone 50 mg daily before going on intravenous low-dose cyclophosphamide 500 mg/m2 at 0 and 2 weeks only (Euro-Plus protocol). Then the regimen was changed due to marked clinical improvement to oral mycophenolate mofetil 1 gm twice daily, enalapril 5 mg daily, and hydroxychloroquine 200 mg daily as maintenance therapy. After two months of therapy, there was significant improvement characterised by normalisation of serum creatinine to 73 µmol/l, ESR 13, and C3/C4. Urine analysis and sedimentation showed blood 1+ and protein 1+, and RBC casts with few RBC cells, respectively, while 24-hour urine protein was 298 mg/day. The patient reported the complete resolution of his admitting symptoms, and he gained his body weight from 54 kg to 56.4 kg. His current SLEDAI-2K score is 2.
Discussion
SLE/AAV overlap syndrome is an exceptionally rare autoimmune clinical entity, first described in 2008, characterized by overlapping clinical, serological, and histopathological features of both systemic lupus erythematosus and ANCA-associated vasculitis.[1,6] We report a case of a 38-year-old male with albinism who presented with polyarthritis, serositis, non-nephrotic-range proteinuria, and constitutional symptoms, eventually diagnosed as LN-AAV overlap with full-house nephropathy and ANCA positivity.
This clinical picture aligns with the dual pathology seen in overlap syndrome, notably the presence of both necrotizing glomerulonephritis and full-house immune complex deposition. Crescentic GN, red cell casts, and ANCA positivity supported the vasculitic component, while high ANA, anti-dsDNA, and low complement levels favoured LN. The renal biopsy confirmed class V (membranous) and class III (focal proliferative) LN with crescents, a hallmark finding in overlap syndrome. Although overlap syndrome is more common in women, this case highlights its potential occurrence in males, particularly in underreported regions.
Diagnosis and management of overlap syndrome were based on clinical presentation and immunopathological profile, which then suggests ANCA positivity with full-house nephropathy.[7,12,13] The literature suggests MPO-ANCA and P-ANCA are more frequently associated with overlap cases;[1,4,6] this was consistent in our case (P-ANCA titer 50.74 IU/ml). Most reported cases were treated with immunosuppressants and showed remarkable clinical remission,[3,7,13] like our case, despite its rarity in males.
Our case responded well to initial methylprednisolone pulses followed by cyclophosphamide (Euro-Lupus protocol) and transitioned to mycophenolate mofetil for maintenance, with rapid resolution of symptoms within weeks and normalisation of renal function, while 24-hour urine protein reduced from 2016 mg/day to 298 mg/day within three weeks. Early diagnosis and prompt immunosuppressive therapy are essential, given the high risk of rapidly progressive glomerulonephritis and mortality rates up to 20%. The management approach of our case followed previous documented cases.[2-6,9,11] Furthermore, comparative case reviews indicate variable presentations—ranging from cutaneous lesions to pulmonary haemorrhage, but renal involvement remains a consistent hallmark.
Given the rarity, especially among males in our setting, this case adds to the growing but limited body of knowledge. It emphasizes the importance of renal biopsy in atypical lupus presentations with unexplained renal decline and ANCA positivity. Nevertheless, treatment remains individualized, often combining lupus and vasculitis protocols with careful monitoring for relapses and complications.[6,7] Our patient showed complete resolution of symptoms following medications; therefore, repeating the renal biopsy is unnecessary.
Our case underscores the clinical relevance of recognizing SLE/AAV overlap early to optimize treatment outcomes. Further multicentre studies are needed to standardize diagnostic criteria, treatment protocols, and long-term outcomes for this rare but serious overlap syndrome.
Conclusion
This case illustrates a rare presentation of SLE/AAV overlap syndrome in a male patient, emphasizing the need for high clinical suspicion in atypical autoimmune presentations. Early renal biopsy and prompt immunosuppressive therapy are crucial for favourable outcomes. This report contributes to the limited literature on male cases and highlights the importance of recognizing overlap syndromes in diverse populations.
Acknowledgement: We appreciate the staff of the Department of Nephrology at Benjamin Mkapa Hospital for their commitment and support during the management of our patient. Special thanks to our patient and his family for permission to report this case.
Ethical consideration: Informed consent for publication was obtained from the patient.
Conflict of interest: None.
Funding: Nil.
Authors’ contributions: G.E.: Conceptualization, writing original draft, writing reviews, and editing. B.A: Writing reviews and editing. S.M.: supervision, writing reviews, and editing. A.M: Supervision, writing reviews, and editing.
References
- Farah RI, Shahin NA, Alawneh M, Adwan M. Rapidly progressive glomerulonephritis due to systemic lupus erythematosus and ANCA-associated vasculitis overlap. 2020;3–6. DOI: https://orcid.org/0000-0003-1638-9017
- Martínez CM. Anca-positive vasculitis with full-house nephropathy, an unusual association: a case report and review of literature. C r | r c. 2021;285–90. DOI: https://doi.org/10.1590/21758239-JBN-2020-0134
- Itikyala S, Pattanaik D, Raza S. Case Report Systemic Lupus Erythematosus (SLE) and Antineutrophil Cytoplasmic Antibody-Associated Vasculitis (AAV) Overlap Syndrome: Case Report and Review of the Literature. 2019;2019:2–6. DOI: https://doi.org/10.1155/2019/5013904
- Itikyala S, Pattanaik D, Raza S. Case Report Systemic Lupus Erythematosus (SLE) and Antineutrophil Cytoplasmic Antibody-Associated Vasculitis (AAV) Overlap Syndrome: Case Report and Review of the Literature. 2019;2019:2–6. DOI: https://doi.org/10.1155/2019/5013904
- Kato K, Kawamura T, Terashima R, Tsuchiya Y, Takahashi Y, Kasai K, et al. Case Report A Case of Systemic Lupus Erythematosus / Antineutrophil Cytoplasmic Antibody-Associated Vasculitis Overlap Syndrome with Dissociated Pathological and Immunological Findings. 2020;2020:1–7. DOI: https://doi.org/10.1155/2020/5698708
- Hounoki H, Shinoda K, Matsui A, Okumura M, Yamaguchi S, Kakeshita K, et al. Case Report A Case of Systemic Lupus Erythematosus and Antineutrophil Cytoplasmic Antibodies-Associated Vasculitis Overlap Syndrome. 2021;2021. DOI: https://doi.org/10.1155/2021/6690658
- Chiu C, Ho M, Laniyati S, Nuntana H, Yuan K Der. The 2024 APLAR Consensus on the Management of Lupus Nephritis. 2025;1–18. DOI: https://doi.org/10.1111/1756-185X.70021
- Curtiss P, Liebman T, Khorolsky C, Brinster N. Systemic lupus erythematosus and antineutrophil cytoplasmic antibody e associated vasculitis : An emerging overlap syndrome with cutaneous manifestations. JAAD Case Reports [Internet]. 2018;4(5):493–6. Available from: https://doi.org/10.1016/j.jdcr.2018.01.021
- Glomerulonephritis P, Jarrot P andre, Chiche L, Hervier B, Daniel L, Vuiblet V, et al. Systemic Lupus Erythematosus and Antineutrophil Cytoplasmic Antibody-Associated Vasculitis Overlap Syndrome in Patients With Biopsy-. 2016;95(22):1–11.
- Pan L, Ping M, Jing L, Wang H, Xu M, Rui S. Immunological pathogenesis and treatment of systemic lupus erythematosus. World J Pediatr [Internet]. 2020;16(1):19–30. Available from: DOI: https://doi.org/10.1007/s12519-019-00229-3
- Dardik G, Krieger A, Rao MK, Stokes MB, Wooden B, Bomback AS. A Case Report and Literature Review of ANCA-Associated Vasculitis and Lupus Nephritis Overlap : Lessons in Management. 2025;168–75. DOI: https://doi.org/10.1159/000543014
- Ashraf A, Daloya J, Rana V, Ahmed A, Kaell A. Diagnosing and Managing Clinically Silent Lupus Nephritis and Anti-neutrophil Cytoplasmic Antibody-Associated Vasculitis Overlap Syndrome : A Clinical Challange Case Presentation. 2022;14(4). DOI: https://doi.org/10.7759/cureus.24624
- Rossi GM, Vaglio A. New Treatment Regimens, New Drugs, and New Treatment Goals for Lupus Nephritis. 2025;1–11. DOI: https://doi.org/10.3390/jcm14020584